Plaza Dentistry
Eli Shteingart DMD

Straighten Your Smile With Invisalign

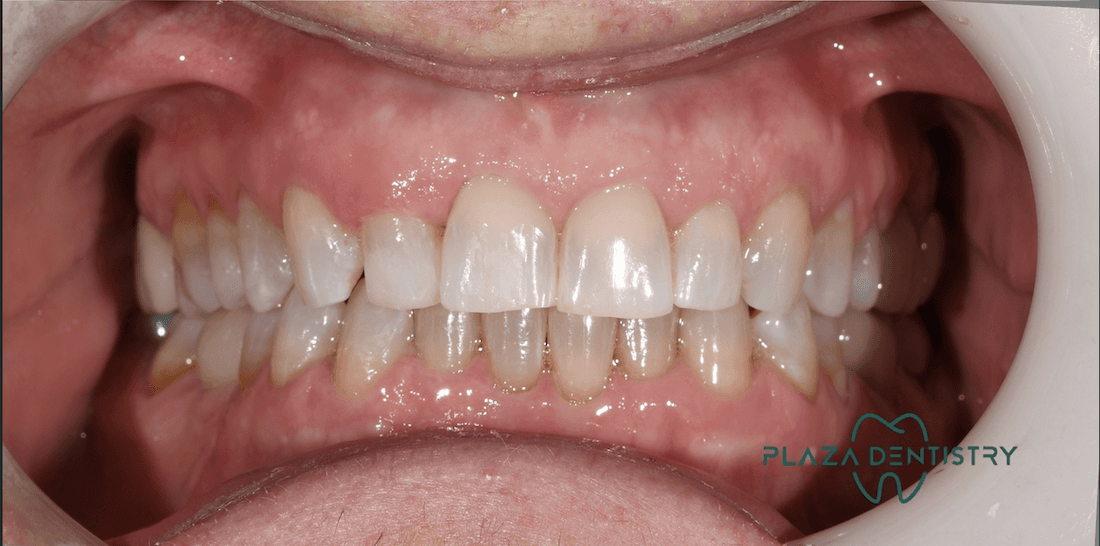
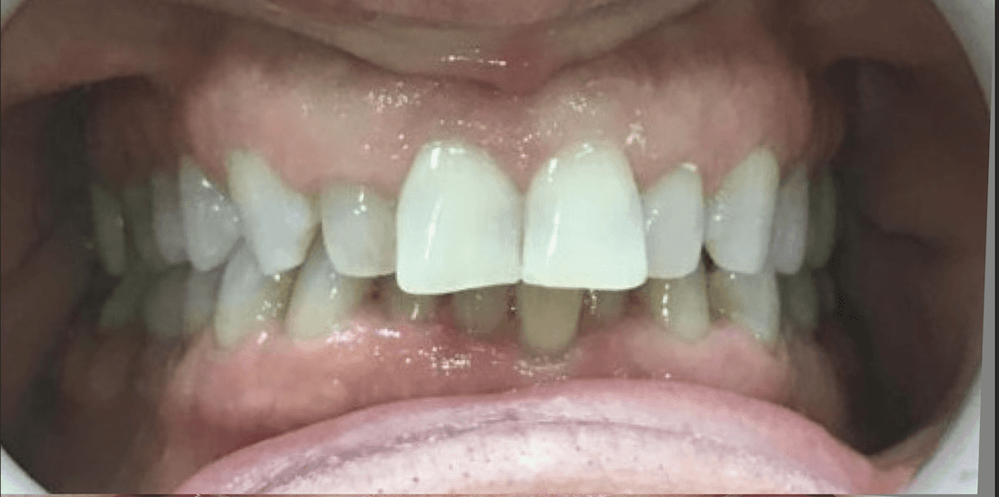
Dr. Shteingart used Invisalign in Teaneck, NJ, to align this patient's teeth and correct their overbite. Chewing, eating, and smiling with confidence have never been easier!

Related Services:

Invisalign Clear Aligners
teeth before invisalign treatment | cosmetic dentistry teaneck nj straight smile after dental treatment | invisalign teaneck nj
Ready to book an appointment?
If you have difficulty using our website, please email us or call us at (201) 833-6847
View the ADA Accessibility Statement
Privacy Policy