Plaza Dentistry
Eli Shteingart DMD

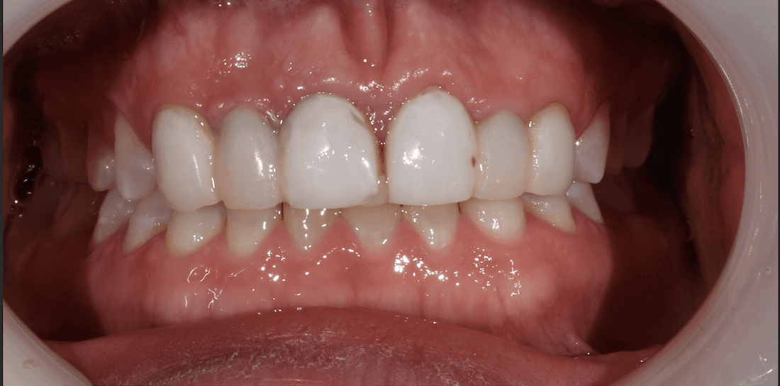
Rejuvenate Your Smile With Dental Bridge

Dr. Shteingart used a dental bridge to rejuvenate this patient's front six teeth. With chewing function and aesthetics restored, they can feel confident about their smile and dental health. 

You can learn about dental bridges in Teaneck by contacting your Plaza Dentistry team.

teeth before dental treatment | dental bridges teaneck nj bright smile after restorative dentistry | teaneck dentist
They found my solution

Ready to book an appointment?
If you have difficulty using our website, please email us or call us at (201) 833-6847
View the ADA Accessibility Statement