Plaza Dentistry
Eli Shteingart DMD

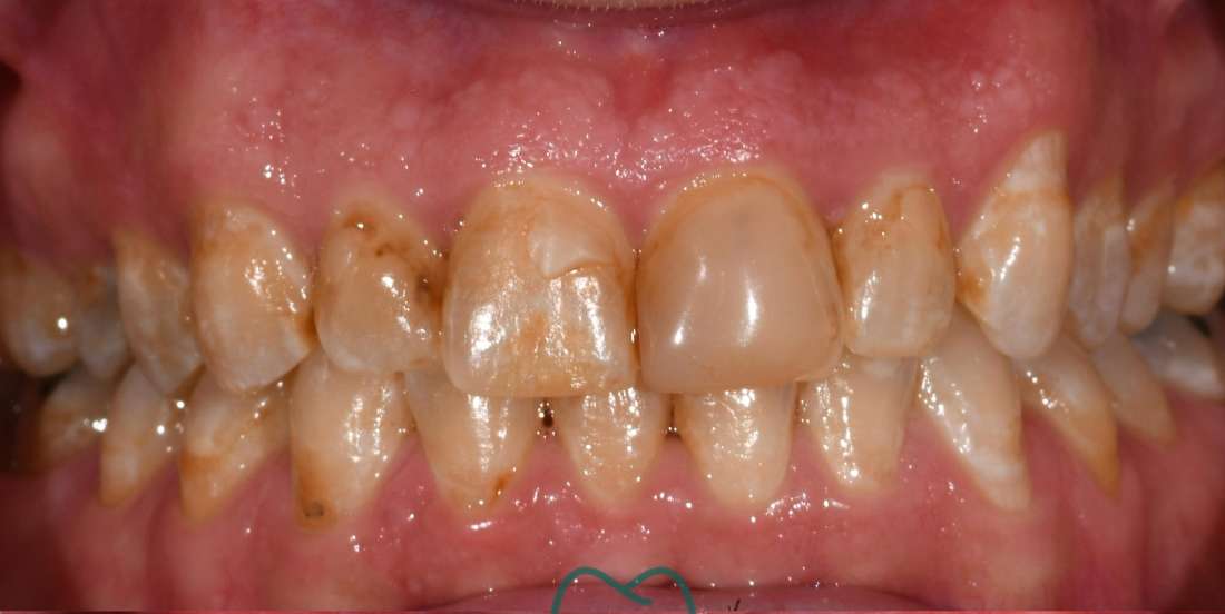
Porcelain Veneers

Dr. Shteingart used porcelain veneers to enhance this patient's front teeth for a more aesthetic smile.

Are you interested in learning more about dental veneers in Teaneck, NJ? Contact your Plaza Dentistry team online or by phone to book an evaluation with Dr. Shteingart

Related Services:

Porcelain Veneers
We Warmly Welcome New Patients to Our Practice
If you have difficulty using our website, please email us or call us at (201) 833-6847
View the ADA Accessibility Statement
Privacy Policy