Plaza Dentistry
Eli Shteingart DMD

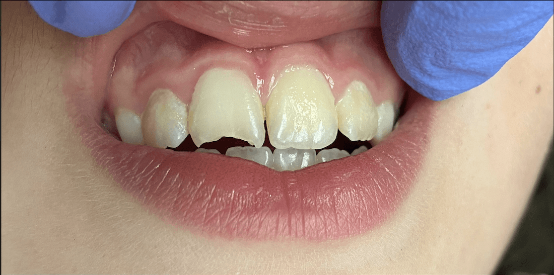
Pediatric Dental Bonding

Dental bonding saved the day when this young patient in Teaneck, NJ chipped their front tooth! Dr. Shteingart was able to restore function and aesthetics for this child with customizable composite resin material. 

Related Services:

Children's Dentistry
chipped tooth before dental bonding | dental bonding teaneck nj complete smile after treatment | cosmetic dentist teaneck nj
Have Questions? Get in Touch
If you have difficulty using our website, please email us or call us at (201) 833-6847
View the ADA Accessibility Statement
Privacy Policy