Plaza Dentistry
Eli Shteingart DMD

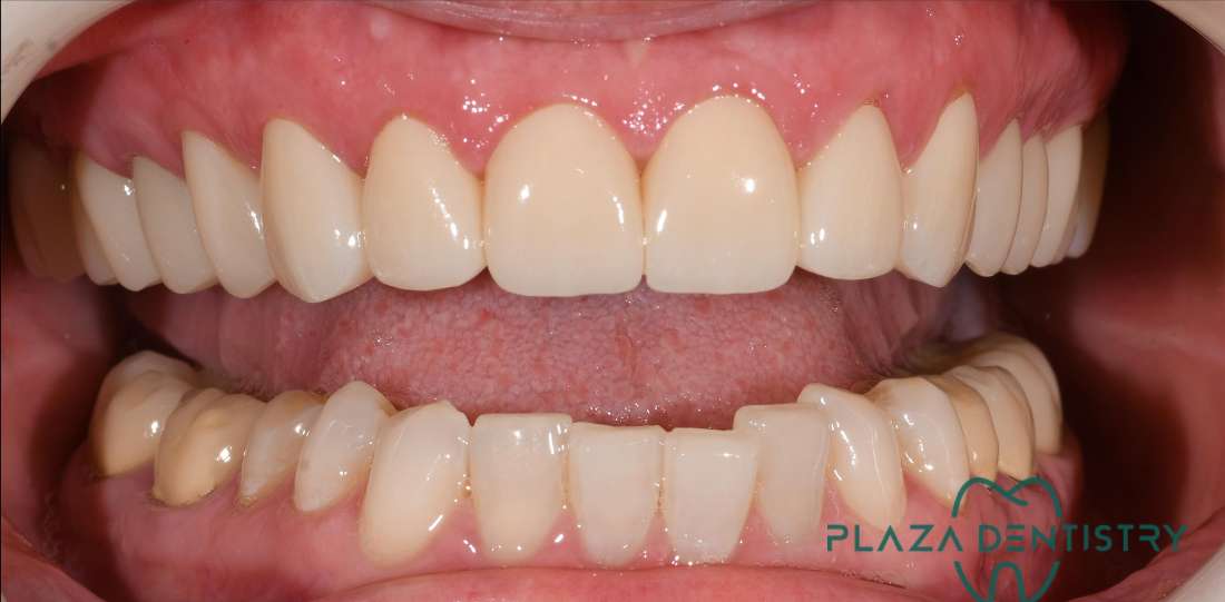
Crowns

Full upper arch esthetic crowns restored this patients smile by giving them a more uniform and symmetrical smile. 

Want to learn what crowns can do for you? Contact your cosmetic dentist in Teaneck at (201) 833-6847 for more information. 

Have Questions? Get in Touch
If you have difficulty using our website, please email us or call us at (201) 833-6847
View the ADA Accessibility Statement
Privacy Policy