Skip to main content
Plaza Dentistry
Eli Shteingart DMD
Plaza Dentistry
Eli Shteingart DMD
Request an Appointment
Like us on Facebook
Visit us on Yelp
Watch our Youtube Videos
Leave a Google Review
Instagram
(201) 833-6847
Plaza Dentistry
Home
About
Our Team
Technology
Practice Photos
Services
View All
General Dentistry
Root Canal Treatment
Porcelain Veneers
Children's Dentistry
All-on-4®
Full Mouth Reconstruction and Dental Bridges
Emergency Dental Care
Invisalign Clear Aligners
Dental Implants
Cosmetic Dentistry
Smile Gallery
Patient Info
View Patient Info
Testimonials
Forms
Financial
FAQs
Blog
Contact
Plaza Dentistry
>
Smile Gallery
>
Cosmetic crowns
Cosmetic crowns
Return to Smile Gallery
Previous
Next
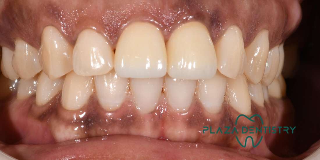
By adding cosmetic crowns to this patient we were able to repair this patients front teeth.
Related Services:
Cosmetic Dentistry
Drag the arrows back and forth to view complete Before and After views
Ready to book an appointment?
Contact Us
OK!
×
×
Contact Us Today
Give Us A Call
Plaza Dentistry -
(201) 833-6847
Send Us an Email
Book Now
Contact Us
Ready to Schedule an Appointment?
Book Now
Have Questions? Contact Us:
Required Field
Your Name:
Phone:
Email:
Are you a new patient?:
Are you a?
New Patient
Current Patient
How would you like us to contact you?
Please choose
Email
Call
How did you hear about us?
Please choose
I'm an existing patient
Google/Bing
Mailer
Word of mouth
Social media
Other
Who Referred You?:
Appointment Preferences
Monday
Tuesday
Wednesday
Thursday
Friday
Your Message:
I agree to receive informational SMS messages from Plaza Dentistry related to appointments, scheduling updates, and service notifications. Message frequency may vary. Message and data rates may apply. Reply STOP to opt out at any time. By checking this box, I consent to receive text messages from Plaza Dentistry at the phone number provided for service-related communications. I understand that I can opt out at any time by replying STOP. Message and data rates may apply.
This site is protected by reCAPTCHA and the Google
Privacy Policy
and
Terms of Service
apply.
Sending...
×
This Patient's Experience
Loading Testimonial...
Loading Case...